Mūsu darbi

Mēs esam savas jomas profesionāļi - pret katru pacientu izturamies ar empātiju un spējam izpildīt darbus ar augstām estētiskām prasībām. Pirms uzsākt darbu, noskaidrojam pacienta vēlmes un iespējas, lai spētu piedāvāt piemērotākos risinājumus, kuros uzsvars tiek likts uz ilgtermiņa stabilitāti. Pacients saņem ārstēšanas plānu, kurā redzamas gan plānotās izmaksas, gan darāmie darbi.

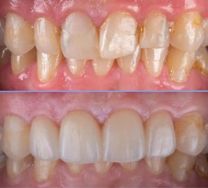
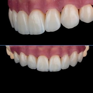
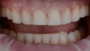
10 venīri uz saviem zobiem ar minimālu pieslīpēšanu (0.5mm)

Paciente vēlējās atjaunot nodilušos zobus un padarīt tos gaišākus. Balināšana bija izmēģināta, bet nebija devusi gaidītos rezultātus. No sākuma veicām digitālo plānojumu, izveidojām 3D modeli un pielaikojām plānoto venīru formu vēl pirms lēmuma pieņemšanas.  Lai rezultāts būtu ilgnoturīgs, pēc venīru uzstādīšanas, jālieto nakts kape. 
Aptuvenais laiks: 1.5 mēnesis
Aptuvenās izmaksas: 6500€
Pirms Pēc

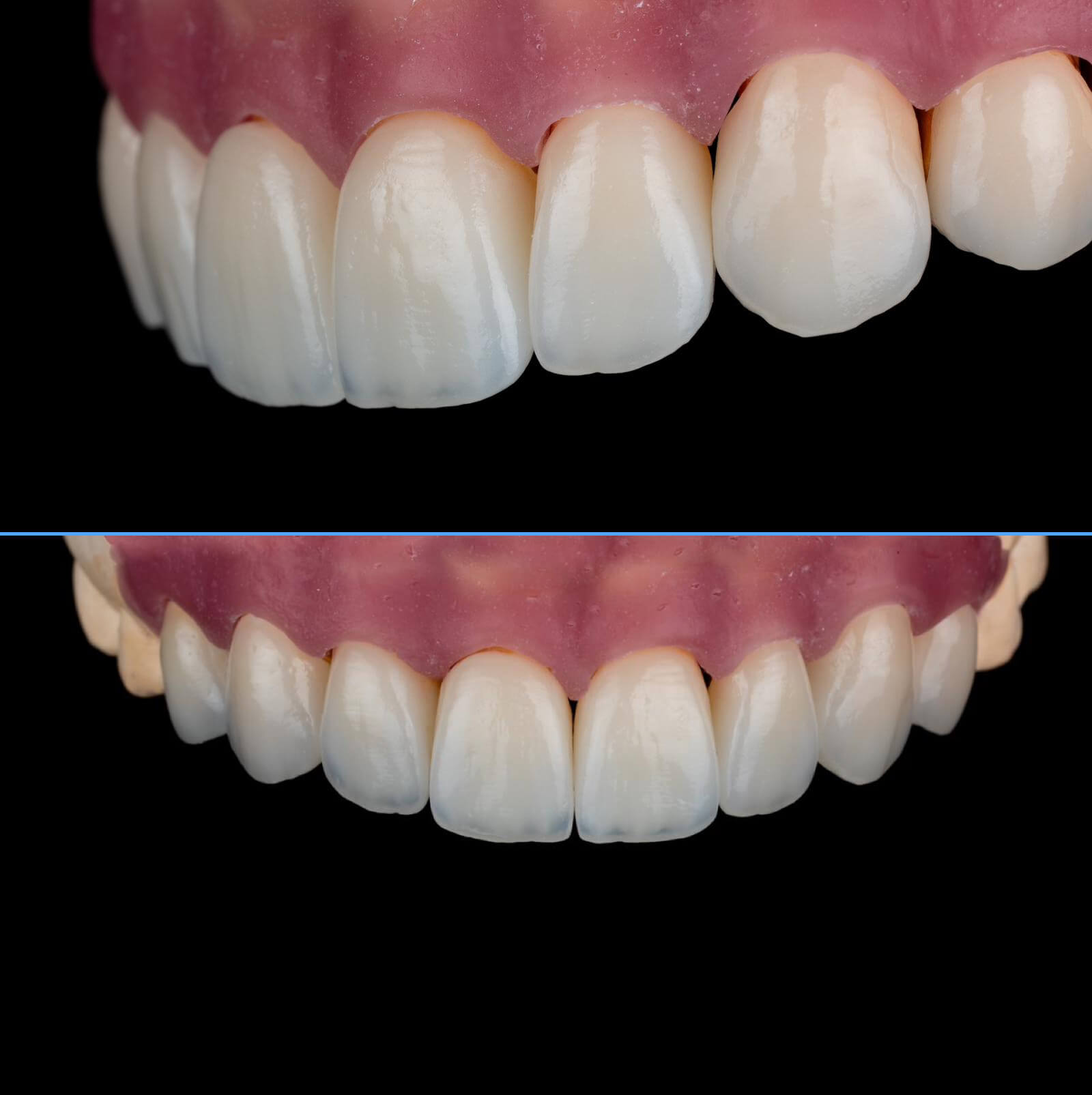
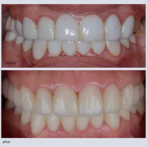
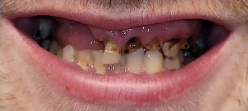
Pilnīga esošo restaurāciju nomaiņa visiem zobiem augšžoklī un apakšžoklī

Pacientei pirms vairākiem gadiem citā klīnikā izveidoti kompozīta pārklājumi, kuri ar laiku pārkrāsojušies, sākuši drupt, zem tiem sākuši veidoties bojājumi, iekaisušas smaganas.

Veicām higiēnu, esošo restaurāciju noņemšanu, zobu labošanu un izveidojām 25 jaunus cirkonija keramikas kroņus un  venīrus.

Aptuvenais laiks: 1 mēnesis
Aptuvenās izmaksas: 12000€
Pirms Pēc

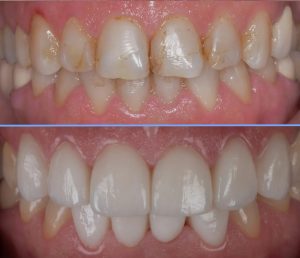
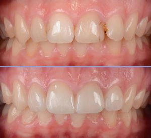
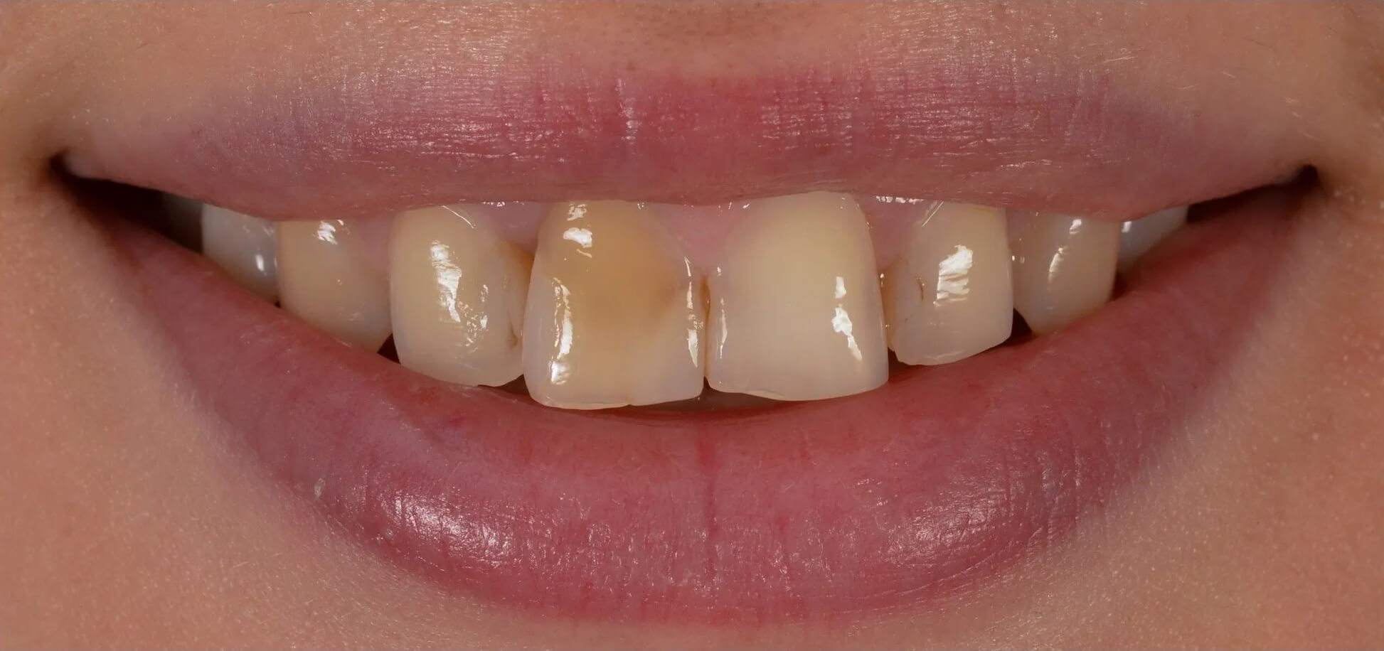
4 porcelāna plāksnītes (venīri)

Galvenais uzdevums bija izveidot dabisku, simetrisku smaidu situācijā, kad esošie zobi bija nedaudz noliekušies uz vienu pusi un esošās plombes kļuvušas tumšākas. Ar 4 venīru risinājumu izdevās uzlabot gan krāsu, gan simetriju.

Aptuvenais laiks: 1 mēnesis
Aptuvenās izmaksas: 2400€
Pirms Pēc

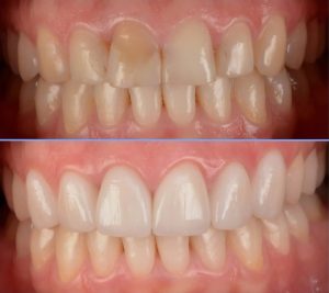
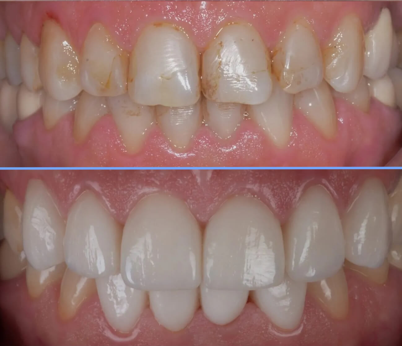
Ortodontija un 8 keramiskās restaurācijas (kroņi un venīri)

Izaicinošs gadījums, kad ārstēšanas secība sākās ar ortodontiju un noslēdzās ar 8 keramiskajām restaurācijām (kroņiem un venīriem). Bija svarīgi atjaunot gan pareizu sakodienu, gan smaida simetriju, gan zobu krāsu.

Aptuvenais laiks: ortodontija 5 gadi, keramiskie vernīri un kroņi 2 mēneši
Aptuvenās izmaksas: ortodontija 2500€, keramiskie vernīri un kroņi 4800€
Pirms Pēc

6 cirkonija keramikas kroņi

Situācija, kad savi zobi iepriekš vairākas reizes jau bijuši laboti, bet pacients vēlējās uzlabot gan zobu krāsu, gan formu, gan izturību. Izviedojām 6 cirkonija keramikas kroņus, kas apņem savus esošos zobus no visām pusēm.

Aptuvenais laiks: 3 nedēļas
Aptuvenās izmaksas: 3600€
Pirms Pēc

Estētika pēc ortodontijas

Paciente pēc ortodontiskas ārstēšanas. Sakodiens bija stabils, bet vizuāli zobi nebija vienādā krāsā, tie iepriekš daudz reizes tikuši laboti un paciente vēlējās tos padarīt gaišākus.
Izgatavojām 6 keramiskās restaurācijas- 2 keramiskos kroņus (apņem zobu no visām pusēm) un 4 keramiskos venīrus (apņem zoba priekšpusi, sānus).

Aptuvenais laiks: 1 mēnesis
Aptuvenās izmaksas: 3600€
Pirms Pēc
DR.Klīnika 6 keramiskās restaurācijas

E.MAX keramiskie kroņi uz saviem zobiem.

1 of 3

E>MAX keramiskie vernīri (porcelāna plāksnītes) uz saviem zobiem.

2 of 3

E>MAX keramiskie vernīri (porcelāna plāksnītes) uz saviem zobiem.

3 of 3

Zaudēto zobu aizvietošana ar 6 implantiem (Straumann SLActive)

Situācija, kad visi augšējie zobi vai nu zaudēti vai ar ļoti sliktu prognozi. Ārstēšana sastāvēja no 4 posmiem:

  1. digitālā plānošana, lai noteiktu ideālo zobu pozīciju un izskatu
  2. kaula pieaudzēšana
  3. implantu ievietošana
  4. protezēšana.
Aptuvenais laiks: 1 gads
Aptuvenās izmaksas: 16 000€

- plānošana 1000€
- kaula pieaudzēšana 2500€
- pēc 6 mēnešiem 6 implantu ievietošana 5500€
- pēc 4 mēnešiem protezēšana 7000€

Pirms Pēc
Dr.Klīnika zobu implanti

Modelis, kas parāda ieskrūvēta implanta pozīciju.

1 of 2

Cirkonija keramikas zobi, kas tiek pieskrūvēti pie implantiem.

2 of 2

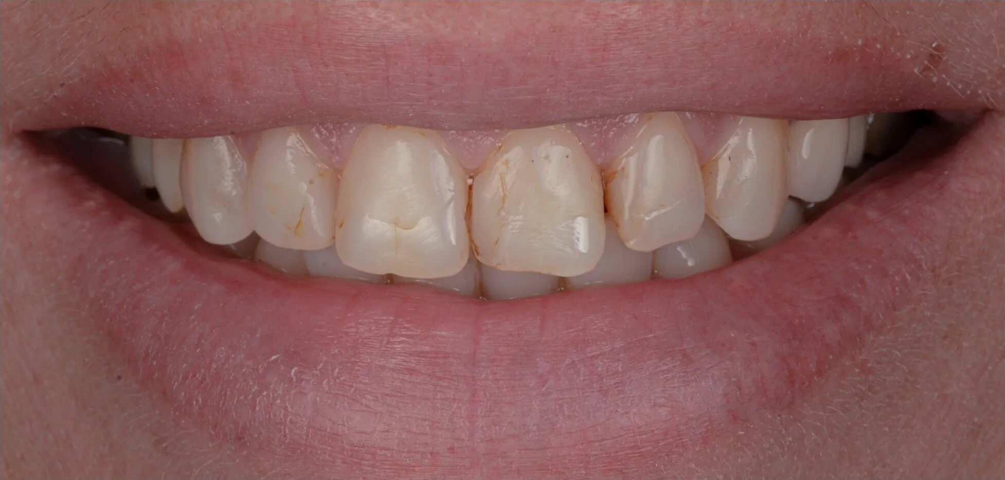
6 cirkonija keramikas kroņi

Paciente vēlējās uzlabot esošo zobu pozīciju, padarīt tos līdzenākus un uzlabot krāsu. Izveidojām 6 cirkonija keramikas kroņus par pamatu izmantojot savus zobus.

Aptuvenais laiks: 3 nedēļas
Aptuvenās izmaksas: 3600€
Pirms Pēc

8 cirkonija keramikas kroņi

Ārstēšana notiek pa posmiem. Pirmais etaps lielākam darbam, kurā vēlāk tika ievietoti 5 implanti un izveidoti vēl cirkonija kroņi. Pacientei prioritāte šoreiz bija priekšzobu izskats, tāpēc sākām ar to un pārējos darbus turpinājām vēlāk.

Aptuvenais laiks: 3 nedēļas
Aptuvenās izmaksas: 4800€
Pirms Pēc

Darba nosaukums

Īss apraksts Lorem ipsum dolor sit amet, consectetur adipiscing elit. Ut elit tellus, luctus nec ullamcorper mattis, pulvinar dapibus leo.

Pirms Pēc

Darba nosaukums

Īss apraksts Lorem ipsum dolor sit amet, consectetur adipiscing elit. Ut elit tellus, luctus nec ullamcorper mattis, pulvinar dapibus leo.

Pirms Pēc

Darba nosaukums

Vecs metāla keramikas kronis un iekaisums ap sakni

1 of 2

Jauns cirkonija keramikas kronis un saknes pildījums

2 of 2

Īss apraksts Lorem ipsum dolor sit amet, consectetur adipiscing elit. Ut elit tellus, luctus nec ullamcorper mattis, pulvinar dapibus leo.

Darba nosaukums

Īss apraksts Lorem ipsum dolor sit amet, consectetur adipiscing elit. Ut elit tellus, luctus nec ullamcorper mattis, pulvinar dapibus leo.

Pirms Pēc

Darba nosaukums

Īss apraksts Lorem ipsum dolor sit amet, consectetur adipiscing elit. Ut elit tellus, luctus nec ullamcorper mattis, pulvinar dapibus leo.

Pirms Pēc

Darba nosaukums

Īss apraksts Lorem ipsum dolor sit amet, consectetur adipiscing elit. Ut elit tellus, luctus nec ullamcorper mattis, pulvinar dapibus leo.

Pirms Pēc
Scroll to Top